رادیولوژی به عنوان یک علم تصویر برداری شناخته میشود که شاخهای از تخصصهای پزشکی بوده و با استفاده از انرژیهای تابشی میتواند مشکلات بدن را تشخیص دهد. در واقع میتوان گفت افرادی که در این زمینه فعالیت دارند با انرژیهای تابشی برای تشخیص دادن بیماریها سرو کار داشته و به این طریق میتوانند بیماران را درمان کنند. علاوه بر این لازم است بدانید رادیولوژی نوعی تصویربرداری تشخیصی نیز بوده و با استفاده از قدرت بالای آن پزشکان میتوانند شرایط بدنی بیماران را بهتر درک کنند.
جالب است بدانید قبل از روی کار آمدن رادیولوژی پزشکان پس از مرگ بیمار به بررسی بخشهای داخلی بدن وی میپرداختند تا بتوانند به شرایط اصلی بیماری پی ببرند. چنین شرایطی موجب میشد تا پزشکان تنها قادر به مشاهده اندامها و بافتهای خارجی بدن بوده و دسترسی خاصی به بافت داخلی نداشته باشند. اما ساختار رادیولوژی توانست این شرایط را تغییر داده با استفاده از اشعههای یونی تصویربرداریهای دقیق از بافتهای داخلی را انجام دهد. این تخصص پزشکی براساس اهداف خاصی روی کار امده است به طور کلی میتواند تصاویر داخلی را تولید نموده و از این تصاویر برای تشخیص و درمان بیماریها استفاده کند.

تصویر پزشکی
تصویر پزشکی تصویر پزشکی تصویر پزشکی تصویر پزشکیتصویر پزشکی تصویر پزشکیتصویر پزشکی تصویر پزشکیتصویر پزشکی تصویر پزشکی

سونوگرافی برای چیست؟
سونوگرافی یک تست غیر تهاجمی است که برای ایجاد تصویر و ویدیو از اندامهای داخلی بدن یا سایر بافتهای نرم از جمله عروق خونی استفاده میشود. اولتراسوند این امکان را به پزشک میدهد که جزئیات بافتهای نرم داخل بدن شما را بدون استفاده از اشعه یا ایجاد برش ببیند.

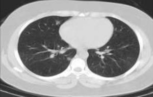
یافته های سی تی اسکن در بیماران مبتلا به کووید – 19
با توجه به اهمیت درگیری ریه در بیماران مبتلا به کرونا و نقشی که سیتی اسکن در تشخیص و انتخاب درمان بیماران دارد، این مطالعه با حجم نمونه بزرگ بر روی نتایج سیتی اسکن ریه بیماران مبتلا به کووید-19 انجام شد.

رادیولوژی چیست
رادیولوژی به عنوان یک علم تصویر برداری شناخته میشود که شاخهای از تخصصهای پزشکی بوده و با استفاده از انرژیهای تابشی میتواند مشکلات بدن را تشخیص دهد.

تصویر پزشکی
تصویر پزشکی تصویر پزشکی تصویر پزشکی تصویر پزشکیتصویر پزشکی تصویر پزشکیتصویر پزشکی تصویر پزشکیتصویر پزشکی تصویر پزشکی

سونوگرافی برای چیست؟
سونوگرافی یک تست غیر تهاجمی است که برای ایجاد تصویر و ویدیو از اندامهای داخلی بدن یا سایر بافتهای نرم از جمله عروق خونی استفاده میشود. اولتراسوند این امکان را به پزشک میدهد که جزئیات بافتهای نرم داخل بدن شما را بدون استفاده از اشعه یا ایجاد برش ببیند.

یافته های سی تی اسکن در بیماران مبتلا به کووید – 19
با توجه به اهمیت درگیری ریه در بیماران مبتلا به کرونا و نقشی که سیتی اسکن در تشخیص و انتخاب درمان بیماران دارد، این مطالعه با حجم نمونه بزرگ بر روی نتایج سیتی اسکن ریه بیماران مبتلا به کووید-19 انجام شد.

رادیولوژی چیست
رادیولوژی به عنوان یک علم تصویر برداری شناخته میشود که شاخهای از تخصصهای پزشکی بوده و با استفاده از انرژیهای تابشی میتواند مشکلات بدن را تشخیص دهد.